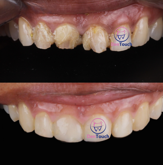
Decayed teeth

Decayed Teeth
Decayed Teeth

Teeth get decayed due to poor oral hygiene and poor dietary habits. They can present in the following ways-

  • White spots on teeth
  • Brown spots on teeth
  • Sensitivity to sweet, hot or cold
  • Pain in teeth
  • Food lodgement in teeth
  • Visible hole in teeth
  • Broken down tooth
  • Pain on chewing 
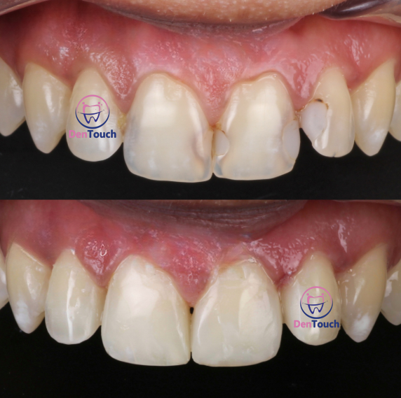
Decayed Teeth
Decayed Teeth

Decayed Teeth

Decayed Teeth

Depending upon how deep the decay is, we can treat it in following ways-

  • Fluoride varnish application
  • Resin Infiltration
  • Composite restoration
  • Bioclear Restoration
  • Inlay/ Onlay
  • Veneer
  • Crown
  • Root Canal Treatment
  • Extraction

Book An Appointment

Scroll to Top